خدمات دندانپزشکی زیبایی شامل چه مواردی می شود؟

تیم تحریریه ایران جابینو
تیم تحریریه
تاریخ انتشار: 1399/10/9
زمان تقریبی برای مطالعه: 6 دقیقه

دندانپزشکی زیبایی در واقع خدماتی هستند که در جهت زیباسازی دندان ها و ایجاد لبخندی زیبا انجام می شود که تاکید بر هنر دندانپزشکی بیشتر از علم دندانپزشکی دیده می شود. شما می توانید با مراجعه به یک دندانپزشکی زیبایی علاوه از زیبایی دندان ها خط لبخند زیبایی نیز داشته باشید و زیبایی را به صورت خود هدیه دهید.
از آنجا که برخی از دندانپزشکان با توجه به گران بودن برخی از روش های زیبایی به صورت اقساطی فعالیت می کنند شما می توانید از خدمات زیبایی دندانپزشکی اقساطی بدون نگرانی بهرمند شوید.

در اینجا برخی از خدمات دندانپزشکی زیبایی را شرح می دهیم.

کامپوزیت

کامپوزیت دندان

کامپوزیت ماده ای ترکیبی از جنس پلاستیک و شیشه می باشد که برای ترمیم دندان های پوسیده از آن استفاده میشود. کامپوزیت نیز همچون لمینت برای اصلاح بدفرمی دندان ها و اصلاح طرح لبخند استفاده می شود. در کامپوزیت دندان بر خلاف لمینت نیازی به تراشیدن دندان ها نیست و در یک جلسه توسط دندانپزشک انجام می گیرد.

لمینت دندان

لمینت دندان

لمینت دندان برای افرادی که دندان های زردی دارند و یا با شکستگی و ترک خوردگی دندان هایشان مواجه هستند، مورد استفاده قرار می گیرد. لمینت و یا ونیر به لایه ای هم رنگ دندان گفته می شود که با اصلاح بدفرمی دندان ها، لبخند را زیباتر می کند. برای انجام لمینت بخش هایی از دندان ها تراشیده می شود. سپس لمینت با رنگ مورد نظر در لابراتوار توسط متخصص ساخته شود.

ایمپلنت دندان

ایمپلنت دندان

ایمپلنت در واقع به معنای کاشت دندان است. ایمپلنت ها پیچ هایی از جنس تیتانیوم هستند که با استخوان فک، جوش خورده و نقش ریشه دندان را ایفا می کنند. سپس روکش، روی ایمپلنت ها قرار می گیرد و دندانی مشابه دندان طبیعی ایجاد می شود. یکی از پرکاربردترین خدمات دندانپزشکی زیبایی، انجام ایمپلنت دندان است که می تواند بسیاری از مشکلات دندان از جمله دندان های کشیده شده را برطرف نماید.

بلیچینگ دندان

بلیچینگ دندان

روشی ساده برای سفید کردن دندان، انجام بلیچینگ است. با بلیچینگ می توان دو تا سه درجه رنگ دندان ها را سفیدتر کرد. در بلیچینگ دندان، پراکسید هیدروژن روی دندان ها قرار می گیرد و سپس جذب مینای دندان می شود. بعد از مدتی، شاهد سفیدتر شدن دندان ها خواهیم بود.

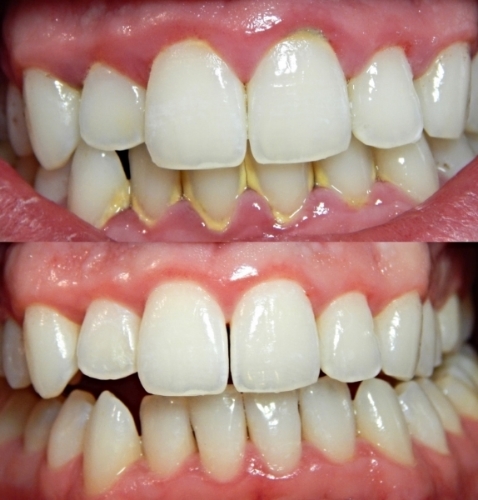
جرم گیری دندان

جرم گیری دندان

جرمگیری دندان برای حذف رسوب هایی که در انتهای دندان و نزدیک لثه قرار می گیرند، استفاده می شود. جرم دندان نه تنها باعث ایجاد بوی بد می شود بلکه رنگ زرد و ناپسندی را روی دندان ها ایجاد می کند. اگر جرم دندان از بین نرود، به مرور زمان دندان ها پوسیده می شوند و سلامت آن ها به خطر می افتد.

باندینگ

یکی از ارزان ترین روش های خدمات زیبایی در دندان ها، باندینگ کامپوزیت است. باندینگ کامپوزیت مواد همرنگ دندان هستند که برای پر کردن دندان ها و اصلاح بدفرمی آن ها به کار می رود. باندینگ یک روش ترمیمی سریع و جذاب است که روی دندان ها قرار می گیرد و سپس با کمک اشعه فرابنفش، محکم می شود. از باندینگ به عنوان روشی سریع نام می برند که برای پر کردن پوسیدگی های دندانی بسیار مناسب است.

بریج

یکی دیگر از خدمات دندانپزشکی زیبایی انجام بریج است. بریج به معنای پل است. فضای دندان خالی توسط دو دندانی که در اطراف قرار دارد، با کمک بریج پر می شود. درواقع بریج یک نوع دندان مصنوعی است که با اتصال به دندان های اطراف، فضای خالی دندان را پر می کند.

تفاوت دندانپزشکی زیبایی با دندانپزشکی ترمیمی

در دندانپزشکی ترمیمی، باید دندان های خود را با روش هایی نظیر ایمپلنت، گذاشتن روکش و موارد این چنینی برای استفاده از خدمات دندانپزشکی زیبایی آماده کنید. تفاوت دندانپزشکی زیبایی و ترمیمی در آن است که نمیتوان بدون ترمیم ظاهر دندان، انتظار زیبایی و ریباسازی دندان را داشت. موادی که در جهت زیباسازی دندان استفاده می شود باید بر روی دندان هایی قرار گیرد که قبل از آن ترمیم شده باشند. در واقع دندانپزشکی ترمیمی، شروع پروسه ترمیم و زیبایی دندان شما خواهد بود. البته تفاوت مفهوم بین زیبایی و ترمیم دندان تنها به این موضوع خلاصه شده و از آنجا که ترمیم دندان توسط تمامی دندانپزشکان انجام می شود، لازم نیست برای ترمیم دندان خود، از دندانپزشک دیگری استفاده کنید، کافیست کلیه خدمات ترمیم و زیبایی دندان را از دندانپزشک زیبایی خود بخواهید.

دلایل اهمیت دندانپزشکی زیبایی
برای پی بردن به اهمیت دندانپزشکی زیبایی باید دو نکته ی مهم را در نظر داشت. اولین نکته این است که وجود لبخند زیبا و دلنشین در هر سن و سالی می تواند تاثیر مثبتی بر اطرافیان شما بگذارد. مهم نیست چقدر پیر شده و پوستتان خراب شده است، لبخند زیبا می تواند به راحتی دیگران را تحت تاثیر قرار دهد.
نکته ی مهم دیگر، مطلع شدن از سیر دستیابی به این تخصص است. متخصصین زیبایی نسبت به دندانپزشکان عمومی دوره های تخصصی بیشتری را طی کرده اند و می توانند زیبایی ساختار دندان ها را بهتر درک کنند. حتی اگر دندانپزشکان عمومی، درمان های ترمیم و زیبایی دیگری مانند پر کردن و سفید کردن را انجام دهند، باز هم این تخصص، تلفیقی از هنر و دانش دندانپزشکی است و نیازمند دوره های مختص به خود می باشد.

چه افرادی برای دندانپزشکی زیبایی مناسب هستند ؟

در دندانپزشکی زیبایی نوع درمان با توجه به روابط فکی ، موقعیت قرارگیری دندان ها و بد فرمی آن ها لحاظ می شود .اگر دندانپزشک زیبایی به شما توصیه می کند که به جای ارتودنسی از روش های دیگر زیبایی استفاده کنید ، بهتر است که به توصیه پزشک عمل کرده و بهترین و مناسب ترین درمان برای زیبایی دندان را انتخاب نمایید .
در برخی موارد رنگ زرد دندان ها به درون آنها وارد نشده و آسیبی به آن وارد نکرده است بنابراین نیازی به انتخاب روش ها و هزینه های بالا برای زیباسازی دندان نیست و فرد به کمک یک جرم گیری می تواند زیبایی دندان را باز یابد .
التهابات لثه ای که لثه را دچار بد رنگی و پر خونی می نماید نیز می تواند عاملی برای اصلاح باشد .
تخریب های شدید که بافت دندان را از بین می برند به کمک روکش های زیبایی اصلاح می شوند، روکش های زیبایی نیز در انواع فلزی و غیر فلزی موجود می باشند که برای دندان هایی که ساختار آن تخریب شده است کاربرد دارد .

برچسب ها :
دندانپزشکی زیباییدندانپزشکی اقساطیلمینت دندان
نظرات کاربران
تاکنون هیچ نظری ثبت نشده است.
×
ثبت نظر جدید