کامپوزیت ونیر و لمینت دندان چه فرقی با هم دارند؟

تیم تحریریه ایران جابینو
تیم تحریریه
تاریخ انتشار: 1399/10/15
زمان تقریبی برای مطالعه: 6 دقیقه

در ابتدا لازم است توضیحاتی در زمینه کامپوزیت ونیر و لمینت دندان بیان کنیم.

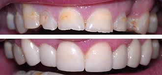
کامپوزیت ونیر چیست؟
یک لایه از مواد همرنگ دندان و یا روشن تر بنام کامپوزیت توسط دندانپزشک زیبایی بر روی دندان جهت اصلاح لبخند و یا رنگ و شکل دندان ها قرار داده می شود که به آن کامپوزیت ونیر گفته می شود.

کامپوزیت دندان

کامپوزیت ونیر جهت اصلاح طرح لبخند
یکی از روش هایی که دندانپزشک زیبایی برای اصلاح طرح لبخند به افراد مختلف پیشنهاد می کند کامپوزیت دندان یا کامپوزیت ونیر می باشد. داشتن لبخندی زیبا و منحصر به فرد حق همه افراد می باشد و استحکام کامپوزیت ها به حدی رسیده است که دندانپزشکان زیبایی میتوانند به عنوان یک پیشنهاد ویژه در طراحی لبخند با خیال آسوده از آن استفاده کنند. اما از آنجا که کامپوزیت ها بسیار حساس هستند و مهارت دندانپزشک نقش عمده ای در موفقیت درمان دارد، پیشنهاد می شود که دندانپزشک زیبایی ماهری برای انجام این کار انتخاب گردد چرا که که اگر کامپوزیت ونیر به صورت اصولی کار شود هیچگونه محدودیت غذایی وجود ندارد و همانند دندان طبیعی می توان از آن استفاده کرد.

بسیاری از افراد برای اصلاح بد فرمی دندان ، رنگ و یا طرح لبخند خود کامپوزیت ونیر را انتخاب می کنند.
کامپوزیت ونیر در صورتی که توسط دندانپزشک زیبایی ماهری انجام شود یکی از موثرترین راه ها برای داشتن لبخندی زیبا می باشد.

کامپوزیت ونیر یک کار هنری
متاسفانه بعضی از دندان پزشکان که توانایی کار با کامپوزیت ونیر را ندارند اطلاعات اشتباهی در رابطه با خطرات و عوارض کامپوزیت ونیر به بیماران می دهند.اما در واقع کامپوزیت ونیر یک کار هنری می باشد و در صورت مهارت دندانپزشک نه تنها آسیبی به دندان وارد نمی کند بلکه باعث محافظت از دندان هم می شود.
جهت اطمینان از مهارت دندانپزشک زیبایی خود، می توانید نمونه درمانهای کامپوزیت انجام شده توسط وی را مشاهده کرده و خودتان قضاوت کنید.

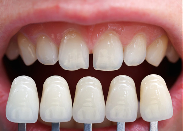
لمینت دندان چیست؟
لمینت دندان عبارت است از یک لایه بسیار نازک از مواد همرنگ دندان از جنس سرامیک که برای اصلاح فرم ،رنگ و بهبود وضعیت قرارگیری دندانها و... در لابراتوار به دستور دندانپزشک زیبایی ساخته می شوند و پس از ارسال به مطب توسط دندانپزشک روی سطح بیرونی دندانها قرار می گیرند.

لمینت اقساطی دندان

تفاوت کامپوزیت و لمینت
کامپوزیت ونیر نشان دهنده هنر دندانپزشک زیبایی است و کار کردن با آن نیازمند مهارت و تکنیک بسیار خاصی می باشد و همچنین آسیب به دندان چون تراش کمتری نسبت به سرامیک نیاز دارد (در اکثر مواقع نیاز به تراش ندارد) کمتر می باشد و قیمت مناسب تری هم دارد فقط تنها عیب آن نیاز به پالیش سالیانه می باشد.
در واقع کامپوزیت ونیر مواد همرنگ دندان است که توسط دندانپزشک زیبایی فرم داده می شود و بر روی دندان قرار می گیرد.
مزیت سرامیک در آن است که به دلیل ساختار کریستالی و جذب آب کمتر نسبت به کامپوزیتها ثبات رنگ بیشتری دارند و نیاز به پالیش ندارد و دوام رنگ بیشتری دارد، اما از معایب آن قیمت بالاتر و نیاز به تراش بیشتر دندان می باشد.
هنر دندانپزشک را ونیر کامپوزیت نشان میدهد و سرامیک بیشتر نشان دهنده هنر لابراتوار و بعد دندانپزشک است.
کامپوزیت ونیر کامپوزیتهای نسل جدید اگر توسط دندانپزشک ماهر انجام شود زیبایی عالی و ثبات رنگ خوبی دارند ولی نیاز به پالیش سالیانه دارند.
لمینتهای سرامیکی مقاوت بالاتری نسبت به کامپوزیتها دارند و هزینه آن نیز بسیار بالاتر می باشند.
در هر دو ونیر کامپوزیت و لمینت سرامیک فوق نازک میزان تراش دندان بسیار کم یا بدون تراش می باشد بصورتی که در هر دو مورد هیچگونه آسیبی به بافت دندان وارد نمی شود.
زمان درمان در کامپوزیت ونیر یک جلسه به مدت ۴ الی ۵ ساعت می باشد که پروسه طراحی لبخند انجام می شود ولی لمینتهای سرامیکی نیاز به زمان ۱۵ الی ۳۰ روزه می باشد.

قیمت کامپوزیت ونیر و لمینت دندان
کامپوزیت ونیر قیمت بسیار مناسبی نسبت به لمینت دندان فوق نازک دارد.

انتخاب بین ونیر کامپوزیت و لمینت سرامیکی به چه عواملی بستگی دارد:
مهمترین عامل در توانایی مالی بیمار می باشد اگر از لحاظ مالی محدودیتی نداشته باشد می توان لمینت فوق نازک را انتخاب کردالبته این به معنی رد کردن ونیر کامپوزیت نمی باشد.
در بیمارانی که به بهداشت دهان و دندان اهمیت زیادی داده می شود و بافت لثه سالمی دارند می توان از ونیر کامپوزیت استفاده نمود.(البته این بیماران می توانند لمینت سرامیکی را نیز هم انجام دهند.)
در صورتی که بیمار سیگار می کشد و یا از قهوه ، چای و یا مواد رنگی زیاد استفاده می کند بهتر است لمینت سرامیکی را انتخاب کند.
در صورت داشتن پوسیدگی وسیع دندانی بهتر است لمینت سرامیکی را انتخاب نمایید.

روش انجام لمینت دندان اهمیت زیادی دارد و این امر وابستگی زیادی به تجربه و توانایی دندانپزشک زیبایی خواهد داشت.
در صورت عدم نصب صحیح لیمنت دندان ، امکان به وجود آمدن بیماری هایی نظیر پریودنتال ، مشکلات پوسیدگی دندان و از دست دادن دندان ها جدی می شود.
بیماری پریودنتال در واقع یک عفونت باکتریایی است که در بافت اتفاق و بیمار را درگیر این بیماری می کند ، تحلیل لثه ، لقی دندان و در نهایت از دست دندان از عوارض این بیماری می باشد.
دندانپزشک زیبایی با تجربه از عوارض نصب نادرست لمینت دندان جلوگیری می کند.
یک دندانپزشک زیبایی با تجربه زیادی که در طول سالیان فعالیت خود به دست آورده توانایی تشخیص ، تحلیل و انجام درست نصب لمینت دندان را داراست و در این صورت به بیمار اطمینان داده می شود که به هیچ عنوان دندان لمینت شده درگیر بیماری های عفونی و لثه ای نمی گردد.

نتیجه نهایی:
ونیر کامپوزیت و لمینت سرامیکی اگر علمی و استاندارد و توسط دندانپزشک زیبایی انجام شود هیچکدام آسیبی به لثه و دندان وارد نمی کنند و انتخاب بین دو درمان بستگی به تشخیص دندانپزشک زیبایی ، توانایی مالی بیمار ، بهداشت دهان و دندان و میزان پوسیدگی دندان بیماردارد.
جهت گرفتن تصمیم صحیح، برای انجام ونیر کامپوزیت و لمینت سرامیکی ابتدا نمونه کارهای انجام شده توسط دندانپزشک زیبایی را مورد بررسی قرار داده و سپس اقدام نمایید.

البته برخی از دندانپزشکان با توجه به گران بودن برخی از روش های زیبایی به صورت اقساطی فعالیت می کنند شما می توانید از خدمات زیبایی دندانپزشکی اقساطی و لمینت اقساطی دندان بدون نگرانی بهرمند شوید.


برچسب ها :
کامپوزیت ونیرلمینت دنداندندانپزشک زیباییکامپوزیت دنداندندانپزشکی زیباییدندانپزشکی اقساطی
نظرات کاربران
تاکنون هیچ نظری ثبت نشده است.
×
ثبت نظر جدید